Providing Excellent Dental Care Is Our Objective

Smile Gallery

|
Smile Gallery

Picture The Possibilities Of A Smile Makeover.

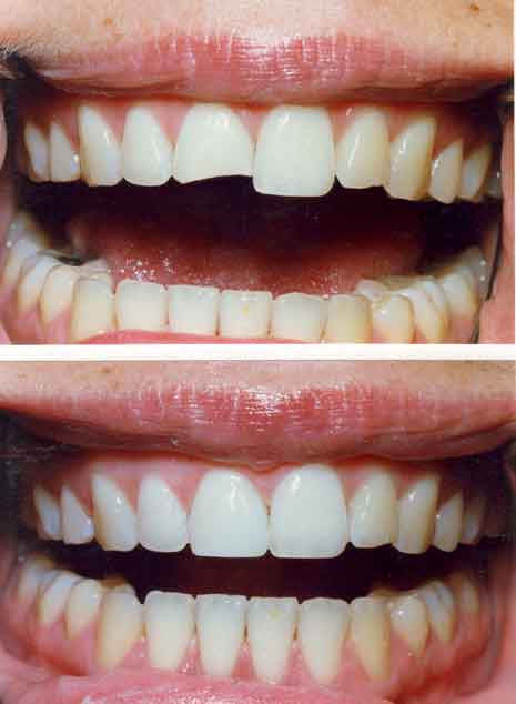
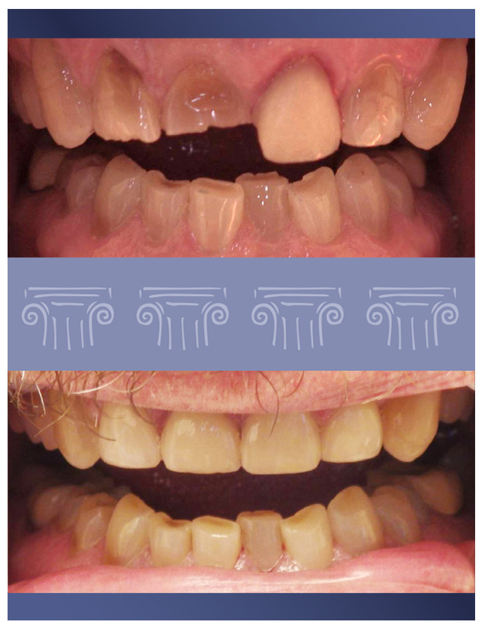
Our Smile-Gallery lets you see real life Before and After dental photos: All forms of cosmetic dentistry from veneers to implants to crowns in Sandy Springs and Chamblee, GA are not equal.  For patients wanting to improve the look of their smile, The Right Smile Center offers a wide range of services that fit a variety of needs and accommodates your budget.

Because we understand there are many times when patients have limited funds, we work with you in a “phased-solution” towards your ultimate smile goal. Cosmetic dentistry gives you the ability to enhance the overall appearance of your teeth, gums, and mouth, which allows for a brighter, more youthful smile.

While straight teeth go beyond aesthetics and psychological well-being as well. There are an abundance of oral health benefits that come from having a cosmetic dental makeover. It is not an overstatement to suggest that cosmetically enhanced teeth are an integral part of good oral hygiene.

Request schedule

Fill out the form below to schedule a visit with us.

"*" indicates required fields

This field is for validation purposes and should be left unchanged.
Name*
MM slash DD slash YYYY
Preferred Location